HOME>症例
症例
審美歯科症例のご紹介
矯正べニア
矯正治療によって正中離開の閉鎖と、漂泊処置によって輝度を向上させました。


クラウン
患者さんの希望は丸みをもった歯にしてほしいということでした。

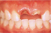
セラミック
歯冠部の変色歯質を削去し、両側中切歯をオールセラミック製の全部被履冠で修復しました。

矯正べニア
矯正治療によって正中離開の閉鎖と、漂泊処置によって輝度を向上させました。


クラウン
患者さんの希望は丸みをもった歯にしてほしいということでした。

セラミック
歯冠部の変色歯質を削去し、両側中切歯をオールセラミック製の全部被履冠で修復しました。
